Se connecter
Contactez-nous
Page d'accueil
Pourquoi Smilesey ?
Résultats
Articles
Contactez-nous
Page d'accueil
Pourquoi Smilesey ?
Résultats
Articles
Contactez-nous
Se connecter
Contactez-nous
Résultats
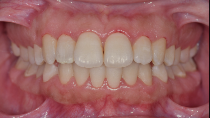
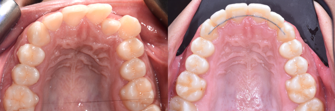
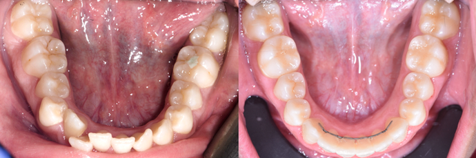
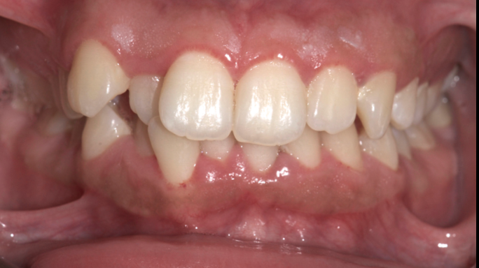
Avant/Après
.
P
erfect smiles are always aligned.